Vegansk IT konsultation hos GrN.dk. Vi løser både store og små opgaver. Kontakt os.
Tandmutant - vandrette visdomstænder
Et besøg hos tandlægen i slutningen af November 2014 viser, at det er tiden er kommet til at fjerne de vandretliggende visdomstænder i min mund - der er kommet hul (caries), da de har brudt gennem tandkødet. Jeg har svært ved at børste dem, uden at gøre skade på det omkringliggende tandkød - de ligger også vandret med tandkronen mod kindtanden. Den store udfordring er, at visdomstænderne i den nedre del af kæben ligger i nærheden af nervebanerne. En kirurgisk operation er nødvendig for at fjerne dem og der er risiko for, at jeg mister følelsesevnen i underkæben, hvis de bliver fjernet. Bliver de ikke fjernet, er der risiko for at mine kindtænder bliver ødelagt, på grund af trykket fra visdomstænderne. Den eneste trøst er, at resten af tænderne er i fantastisk form. Tandplejeren spørger om jeg anvender elektrisk tandbørste, hvortil jeg svarer nej. Tandplejeren fortæller, at det er sjældent at tænder kan være så rene uden at anvende en elektrisk tandbørste. Hun går også i gang med at rense tænderne, men konstaterer efter få sekunder, at det ikke er nødvendigt og stopper. Det store spørgsmål er, om jeg er dygtig til at børste tænder, eller om det er min veganske kost og relativt store indtagelse af vand, som holder tænderne i god stand? Det ender med en tandpudsning og en henvisning til en tandkirurgisk afdeling i Århus, som kan fjerne mine visdomstænder i underkæben.
Er der andre tandmutanter med gode råd? Ville du få kirurgisk fjernet dine visdomstænder, hvis du stod i min situation? Eller ville du lade naturen gå sin gang og se hvad der sker om et stykke tid? De generer mig ikke på nuværende tidspunkt og kan måske hele af sig selv?
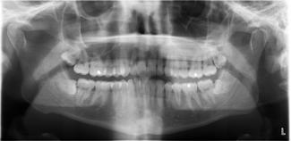
På Ortopan (OTP) panorama-røntgenbilledet fra 2009 kan I se tænderne. Allerede på det tidpsunkt ville de opere samtlige visdomstænder ud af af mind mund. Jeg skiftede tandlæge og fik en anden vurdering.
Billeder fra November 2014
Ja, det er mine tænder, jeg fik fjernet mine tre sølvplomber i 2013 - læs mere om kviksølv i tandfyldninger.



